image
image
image
image

 

 

Anterior luxations

Jean-Yves Maigne, MD


 

Anterior luxations are a rare lesion (less than 5% of the cases of coccydynia). They have nothing to see with posterior luxations, but should be considered as a more marked form of hyper mobility. The difference lies in the axis of displacement of the luxated vertebra (usually the most distal one): there is no sagittal rotation (flexion) as in hyper mobility but a slip in the sitting position. As in hyper mobility, anterior luxations ocures in curved coccyges, with a low incidence and a high sagittal pelvic rotation.

 
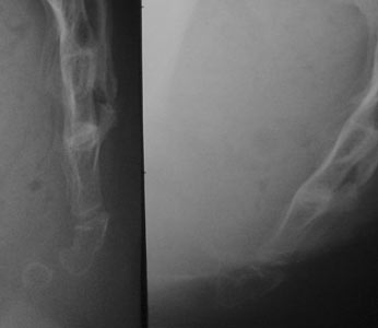
cases #1 to 9
 
Case #1: The anterior luxation typically involve the last vertebra. Is is rarely a complete luxation.
Case #2: The diagnosis may be difficult. Here, the last but one joint (X) is involved.
Case #3: This case is a combination of anterior luxation and hyper mobility. This latter seems predominant.
Case #4: Another typical case.
Case #5: The need for excellent radiographs. Left : standard film. Center : dynamic film, which appears normal... but the distal vertebra is not seen. It is annoying, because it was the one which was luxated (right, X)
 
Content
 
Comment réaliser et lire les radiographies dynamiques 1
Luxations postérieures 1 - 2
Hypermobilité 1 - 2
Epines 1 - 2 - 3
Luxations antérieures 1
Radiographies "normales"
Lésions complexes 1
Fractures 1
Calcifications 1 - 2
Déformations 1
Anatomie du coccyx



image
 
image
image
image